14. Juni 2025

eine Bronchitis đŸ˜·

 
Wer sich fragt, warum ich hier seit lÀngerem nichts geschrieben habe,
dem sei gesagt, dass mich seit weit mehr als zwei Wochen eine
hartnÀckige Bronchitis im Griff hat und es nicht zuletzt
deshalb schlichtweg nichts zu berichten gab
đŸ˜·

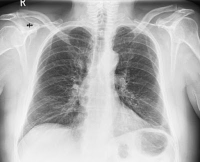
Da zeitweilig der Verdacht im Raum stand, ich könnte mir eine
LungenentzĂŒndung eingehandelt haben, wurde unter anderem
meine Lunge geröntgt


Zu meiner Erleichterung bestÀtigte sich der Anfangsverdacht nicht
und so langsam befinde ich mich auf dem Weg der Besserung
🙂


Keine Kommentare:

Kommentar veröffentlichen